Welcome to the Porifera subsite on Invertebrate Paleontology!
Please enter a genera name to retrieve more information.
Actinostromaria
Classification
Phylum:
Porifera
Class:
Demospongiae
Order:
Agelasida
Family:
Actinostromariidae
Formal Genus Name and Reference:
Actinostromaria Munier-Chalmas in TORNQUIST, 1901, p. 1116
Type Species:
A. stellata Dehorne, 1915, p.
733; SD Dehorne, 1915, p. 733; according to Dehorne (1915, p. 733), Munier-Chalmas neither described nor illustrated A. stellata, and thus a holotype was not originally designated, and now type material has been lost
Images
(Click to enlarge in a new window)
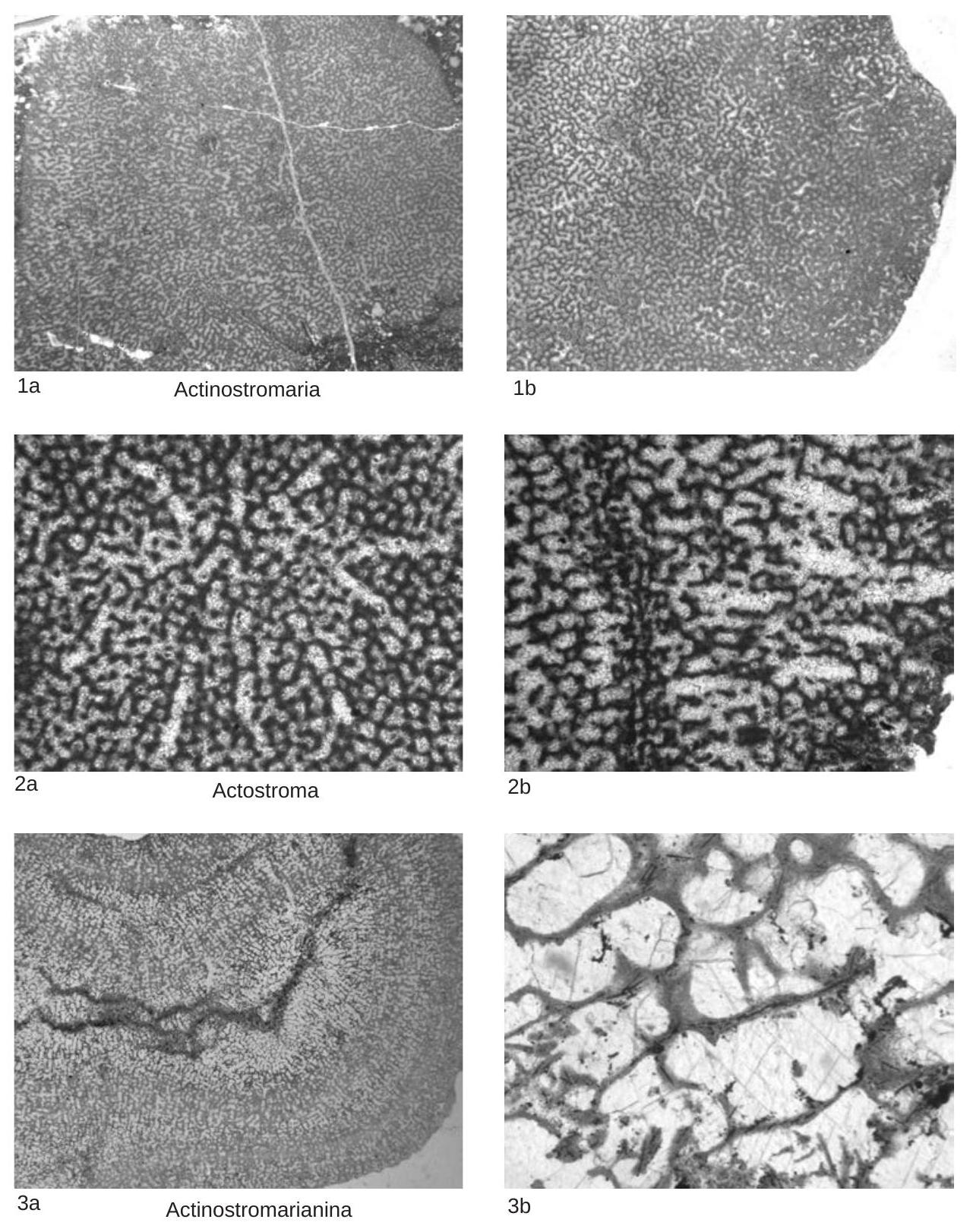
Fig. 170, 1a-b. A. sp., light photomicrograph, upper Oxfordian, Trnovski Gost, Slovenia, a, longitudinal section, NHM no. H 5491, X8, b, transverse section, NHM no. H 5492, X8 (West & others, 2013)
Synonyms
Geographic Distribution
France, Slovakia, Japan
Age Range
Beginning Stage in Treatise Usage:
Upper Jurassic
Beginning International Stage:
Oxfordian
Fraction Up In Beginning Stage:
0
Beginning Date:
161.53
Ending Stage in Treatise Usage:
Upper Cretaceous
Ending International Stage:
Maastrichtian
Fraction Up In Ending Stage:
100
Ending Date:
66.04
Description
Open reticulate arrangement of pillars and pillar-lamellae with fibrous orthogonal microstructure with a spicule framework of styles and possible triaxines.
References
Tornquist, A. 1901. Über mesozoische Stromatoporoiden. Sitzungsberichte der Königlich Preussischen Akademie der Wissenschaften zu Berlin, Jahrgang 1901:1115-1123.
Museum or Author Information
Classification
Phylum:
Porifera
Class:
Demospongiae
Order:
Agelasida
Family:
Actinostromariidae
Formal Genus Name and Reference:
Actinostromaria Munier-Chalmas in TORNQUIST, 1901, p. 1116
Type Species:
A. stellata Dehorne, 1915, p.
733; SD Dehorne, 1915, p. 733; according to Dehorne (1915, p. 733), Munier-Chalmas neither described nor illustrated A. stellata, and thus a holotype was not originally designated, and now type material has been lost
Images
(Click to enlarge in a new window)
Fig. 170, 1a-b. A. sp., light photomicrograph, upper Oxfordian, Trnovski Gost, Slovenia, a, longitudinal section, NHM no. H 5491, X8, b, transverse section, NHM no. H 5492, X8 (West & others, 2013)
Synonyms
Geographic Distribution
France, Slovakia, Japan
Age Range
Beginning Stage in Treatise Usage:
Upper Jurassic
Beginning International Stage:
Oxfordian
Fraction Up In Beginning Stage:
0
Beginning Date:
161.53
Ending Stage in Treatise Usage:
Upper Cretaceous
Ending International Stage:
Maastrichtian
Fraction Up In Ending Stage:
100
Ending Date:
66.04
Description
Open reticulate arrangement of pillars and pillar-lamellae with fibrous orthogonal microstructure with a spicule framework of styles and possible triaxines.
References
Tornquist, A. 1901. Über mesozoische Stromatoporoiden. Sitzungsberichte der Königlich Preussischen Akademie der Wissenschaften zu Berlin, Jahrgang 1901:1115-1123.
