Welcome to the Treatise on Invertebrate Paleontology!
Please enter a genera name to retrieve more information.
Amphipora
Classification
Phylum:
Porifera
Class:
Stromatoporoidea
Order:
Amphiporida
Superfamily:
Unknown
Family:
Amphiporidae
Formal Genus Name and Reference:
Amphipora SCHULZ, 1883, p. 245
Type Species:
Caunopora ramosa Phillips, 1841, p. 19, SD STEARN, 1997c, p. 839, holotype lost, neotype, NHM. P0308, sections A1 to A6
Images
(Click to enlarge in a new window)
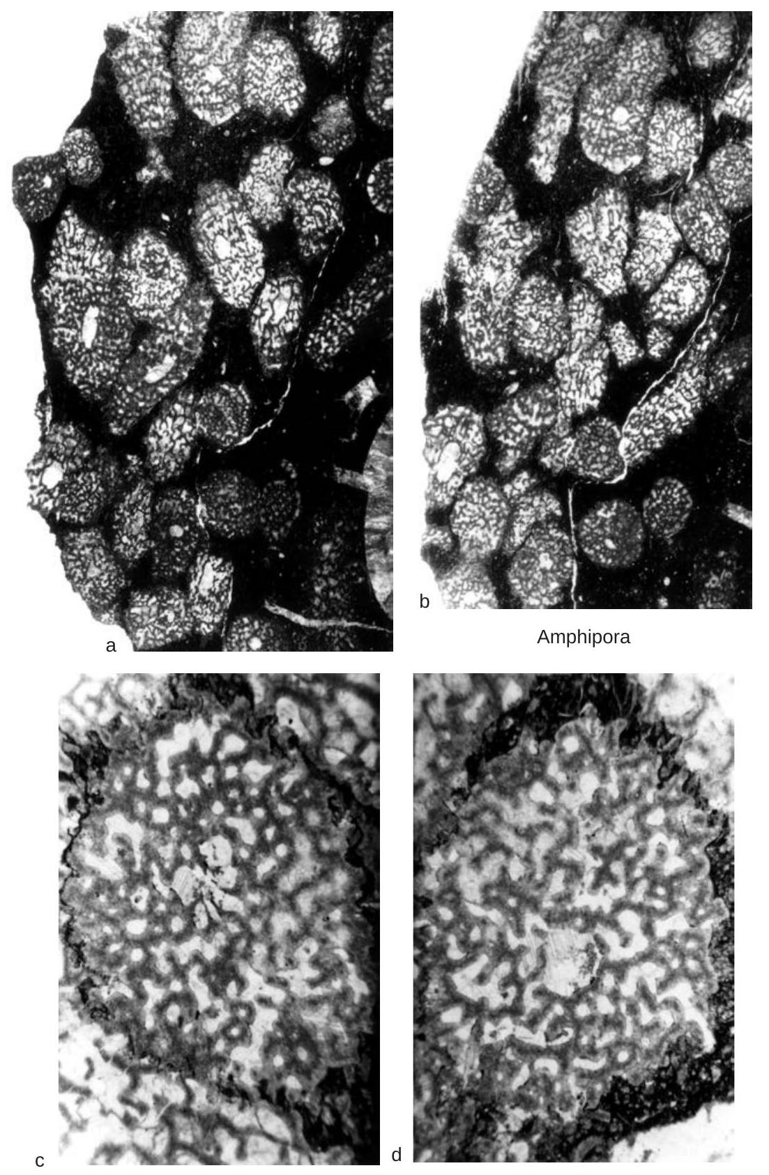
Fig. 475a-d. *A. ramosa (Phillips), neotype, NHM. P0308, Chercombe Bridge Limestone, near Newton Abbott, Devon, England, a-b, two sections through neotype suite, X2.5, c-d, two transverse sections across neotype stem showing variations in skeletal network and central canal, X10 (Stearn, 2011b). --Fig. 476a-b. *A. ramosa (Phillips), neotype, NHM. P0308, Chercombe Bridge Limestone, near Newton Abbott, Devon, England, a, longitudinal section from neotype suite showing axial canal, pillars, and peripheral sheath on only one side, X10, b, axial to tangential section of stem from neoparatype, NHM. P0310, showing peripheral sheaths and well-developed pillars, X10 (Stearn, 2011b).
Synonyms
Haraamphipora, Vicinustachyodes, Vicinostachyodes, Stellopora, Taeniostroma, Columndictyon, Tianshanostroma, Qinghaipora
Geographic Distribution
Russia (Belyj Island), ?middle Silurian, Estonia, Russia (Urals, Kuznetsk Basin, central Siberia, Timan), Sweden (Gotland), Tien Shan, Ludlow, Canada (Arctic Island), China (Xinjiang), Russia (central and eastern Siberia, Salair, Kuznetsk Basin), Tien Shan, USA (Alaska), Lower Devonian, cosmopolitan at lower paleolatitudes, Middle Devonian, cosmopolitan at lower paleolatitudes, Frasnian, China (Guangxi), Russia (Pechora Basin), Famennian, Belgium, northeastern France, Germany (Sittard), upper Famennian or Strunian
Age Range
Beginning Stage in Treatise Usage:
middle Silurian
Beginning International Stage:
Sheinwoodian
Fraction Up In Beginning Stage:
0
Beginning Date:
432.93
Ending Stage in Treatise Usage:
Upper Devonian (upper Famennian)
Ending International Stage:
Famennian
Fraction Up In Ending Stage:
100
Ending Date:
359.3
Description
[Stearn (1997c) discussed the choice of a neotype and the variations in the neotype suite that justify placing in synonymy the genera listed above.] Skeleton dendroid, branching dichotomously, with axial canal locally absent, locally with well-defined wall, locally poorly defined, opening into interskeletal network of voids and irregular canals by pores, Skeletal network formed by pillars radiating upward and outward obliquely from axis, and short elements extending from and joining them to form an irregular structure that may, in transverse sections, define open or closed spaces, Peripheral sheaths sporadically developed in most species, as an imperforate, thin, skeletal wall supported beyond skeletal network by extensions of skeletal elements, Microstructure compact, fibrous. [The plethora of Middle and Upper Devonian occurrences and published species make the listing of their distribution impractical here.]
References
Schulz, E. 1883. Die Eifelkalkmulde von Hillesheim, nebst einem paleontologischen Anhang. Königliche Preussische geologische Landesanstalt und Bergakademie zu Berlin, Jahrbuch für 1882:158-250.
Museum or Author Information
Classification
Phylum:
Porifera
Class:
Stromatoporoidea
Order:
Amphiporida
Superfamily:
Unknown
Family:
Amphiporidae
Formal Genus Name and Reference:
Amphipora SCHULZ, 1883, p. 245
Type Species:
Caunopora ramosa Phillips, 1841, p. 19, SD STEARN, 1997c, p. 839, holotype lost, neotype, NHM. P0308, sections A1 to A6
Images
(Click to enlarge in a new window)
Fig. 475a-d. *A. ramosa (Phillips), neotype, NHM. P0308, Chercombe Bridge Limestone, near Newton Abbott, Devon, England, a-b, two sections through neotype suite, X2.5, c-d, two transverse sections across neotype stem showing variations in skeletal network and central canal, X10 (Stearn, 2011b). --Fig. 476a-b. *A. ramosa (Phillips), neotype, NHM. P0308, Chercombe Bridge Limestone, near Newton Abbott, Devon, England, a, longitudinal section from neotype suite showing axial canal, pillars, and peripheral sheath on only one side, X10, b, axial to tangential section of stem from neoparatype, NHM. P0310, showing peripheral sheaths and well-developed pillars, X10 (Stearn, 2011b).
Synonyms
Haraamphipora, Vicinustachyodes, Vicinostachyodes, Stellopora, Taeniostroma, Columndictyon, Tianshanostroma, Qinghaipora
Geographic Distribution
Russia (Belyj Island), ?middle Silurian, Estonia, Russia (Urals, Kuznetsk Basin, central Siberia, Timan), Sweden (Gotland), Tien Shan, Ludlow, Canada (Arctic Island), China (Xinjiang), Russia (central and eastern Siberia, Salair, Kuznetsk Basin), Tien Shan, USA (Alaska), Lower Devonian, cosmopolitan at lower paleolatitudes, Middle Devonian, cosmopolitan at lower paleolatitudes, Frasnian, China (Guangxi), Russia (Pechora Basin), Famennian, Belgium, northeastern France, Germany (Sittard), upper Famennian or Strunian
Age Range
Beginning Stage in Treatise Usage:
middle Silurian
Beginning International Stage:
Sheinwoodian
Fraction Up In Beginning Stage:
0
Beginning Date:
432.93
Ending Stage in Treatise Usage:
Upper Devonian (upper Famennian)
Ending International Stage:
Famennian
Fraction Up In Ending Stage:
100
Ending Date:
359.3
Description
[Stearn (1997c) discussed the choice of a neotype and the variations in the neotype suite that justify placing in synonymy the genera listed above.] Skeleton dendroid, branching dichotomously, with axial canal locally absent, locally with well-defined wall, locally poorly defined, opening into interskeletal network of voids and irregular canals by pores, Skeletal network formed by pillars radiating upward and outward obliquely from axis, and short elements extending from and joining them to form an irregular structure that may, in transverse sections, define open or closed spaces, Peripheral sheaths sporadically developed in most species, as an imperforate, thin, skeletal wall supported beyond skeletal network by extensions of skeletal elements, Microstructure compact, fibrous. [The plethora of Middle and Upper Devonian occurrences and published species make the listing of their distribution impractical here.]
References
Schulz, E. 1883. Die Eifelkalkmulde von Hillesheim, nebst einem paleontologischen Anhang. Königliche Preussische geologische Landesanstalt und Bergakademie zu Berlin, Jahrbuch für 1882:158-250.

