Welcome to the Treatise on Invertebrate Paleontology!
Please enter a genera name to retrieve more information.
Pachystylostroma
Classification
Phylum:
Porifera
Class:
Stromatoporoidea
Order:
Labechiida
Superfamily:
Unknown
Family:
Stylostromatidae
Formal Genus Name and Reference:
Pachystylostroma NESTOR, 1964a, p. 23
Type Species:
Stromatopora ungerni ROSEN, 1867, p. 75, pl. 9, OD
Images
(Click to enlarge in a new window)
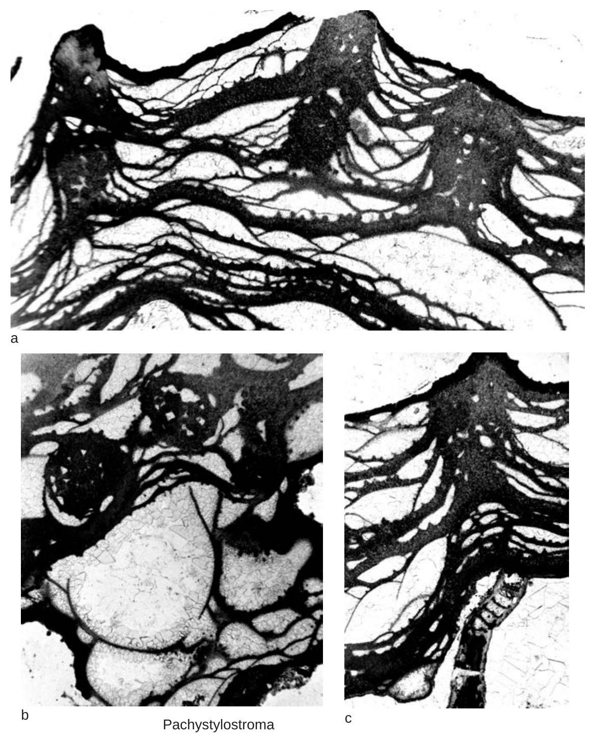
Fig. 404a-c. *P. ungerni (Rosen), Hilliste Formation, Suuremõisa, Hiiumaa Island, Estonia, a-b, lectotype, IGTUT 112-2 (Co3011), longitudinal and tangential sections, X5 (Nestor, 1962, pl. 2, 1-2, 1964a, pl. 4, 4-5), c, paralectotype, IGTUT 112-2 (Co3012), longitudinal section, note uneven base of skeleton in part overgrowing fragment of halysitid coral and large area of calcite spar fill, X5 (Webby, 2012c, courtesy of Heldur Nestor).
Synonyms
Geographic Distribution
USA (Vermont, New York), Darriwilian; Australia (Tasmania), Canada (Ontario), Norway, Estonia, Russia (Altai-Sayan, Tuva), USA (Alabama), Sandbian–Hirnantian; Estonia, Ireland, Llandovery; Russia (Siberian platform), Sweden (Gotland), Wenlock; Estonia, Ludlow–Pridoli; China (Sichuan), Russia (Novaya Zemlya, Vaigach Island, Urals), Upper Devonian.
Age Range
Beginning Stage in Treatise Usage:
Middle Ordovician (Darriwilian)
Beginning International Stage:
Darriwilian
Fraction Up In Beginning Stage:
0
Beginning Date:
469.42
Ending Stage in Treatise Usage:
Upper Devonian
Ending International Stage:
Famennian
Fraction Up In Ending Stage:
100
Ending Date:
359.3
Description
Skeleton usually moderately to strongly mamelonate, cysts of variable size, cyst plates alternating between thicker, gently wavy laminae, mamelon columns sometimes lacking, where present have simple, upwardly and outwardly branching pillars, and in some cases axial thickening of skeletal elements, denticles commonly developed on upper surfaces of thickened laminae, less common on tops of individual cyst plates, locally, successive, close-spaced laminae may appear palisade-like where intersected by short, superposed pillars. [The main feature of this genus that allows it to be distinguished from Stylostroma is the presence of thickened, wavy laminae. NeSTor (1964a) recognized the following three species groups: (1) P. ungerni species group that exhibits strongly compacted mamelon columns; (2) P. contractum species group that has weakly developed mamelon columns; and (3) P. estoniense species group that shows well-developed, slender mamelon columns incorporating well-differentiated branching pillars.]
References
Nestor, Heldur. 1964a. Stromatoporoidei Ordovika i Llandoveri Estoniii [Ordovician and Llandoverian Stromatoporoidea of Estonia]. Akademiia Nauk Estonskoi SSR, Institut Geologii. Tallinn. 112 p., 38 fig., 32 pl., 5 tables. In Russian with English summary.
Museum or Author Information
Classification
Phylum:
Porifera
Class:
Stromatoporoidea
Order:
Labechiida
Superfamily:
Unknown
Family:
Stylostromatidae
Formal Genus Name and Reference:
Pachystylostroma NESTOR, 1964a, p. 23
Type Species:
Stromatopora ungerni ROSEN, 1867, p. 75, pl. 9, OD
Images
(Click to enlarge in a new window)
Fig. 404a-c. *P. ungerni (Rosen), Hilliste Formation, Suuremõisa, Hiiumaa Island, Estonia, a-b, lectotype, IGTUT 112-2 (Co3011), longitudinal and tangential sections, X5 (Nestor, 1962, pl. 2, 1-2, 1964a, pl. 4, 4-5), c, paralectotype, IGTUT 112-2 (Co3012), longitudinal section, note uneven base of skeleton in part overgrowing fragment of halysitid coral and large area of calcite spar fill, X5 (Webby, 2012c, courtesy of Heldur Nestor).
Synonyms
Geographic Distribution
USA (Vermont, New York), Darriwilian; Australia (Tasmania), Canada (Ontario), Norway, Estonia, Russia (Altai-Sayan, Tuva), USA (Alabama), Sandbian–Hirnantian; Estonia, Ireland, Llandovery; Russia (Siberian platform), Sweden (Gotland), Wenlock; Estonia, Ludlow–Pridoli; China (Sichuan), Russia (Novaya Zemlya, Vaigach Island, Urals), Upper Devonian.
Age Range
Beginning Stage in Treatise Usage:
Middle Ordovician (Darriwilian)
Beginning International Stage:
Darriwilian
Fraction Up In Beginning Stage:
0
Beginning Date:
469.42
Ending Stage in Treatise Usage:
Upper Devonian
Ending International Stage:
Famennian
Fraction Up In Ending Stage:
100
Ending Date:
359.3
Description
Skeleton usually moderately to strongly mamelonate, cysts of variable size, cyst plates alternating between thicker, gently wavy laminae, mamelon columns sometimes lacking, where present have simple, upwardly and outwardly branching pillars, and in some cases axial thickening of skeletal elements, denticles commonly developed on upper surfaces of thickened laminae, less common on tops of individual cyst plates, locally, successive, close-spaced laminae may appear palisade-like where intersected by short, superposed pillars. [The main feature of this genus that allows it to be distinguished from Stylostroma is the presence of thickened, wavy laminae. NeSTor (1964a) recognized the following three species groups: (1) P. ungerni species group that exhibits strongly compacted mamelon columns; (2) P. contractum species group that has weakly developed mamelon columns; and (3) P. estoniense species group that shows well-developed, slender mamelon columns incorporating well-differentiated branching pillars.]
References
Nestor, Heldur. 1964a. Stromatoporoidei Ordovika i Llandoveri Estoniii [Ordovician and Llandoverian Stromatoporoidea of Estonia]. Akademiia Nauk Estonskoi SSR, Institut Geologii. Tallinn. 112 p., 38 fig., 32 pl., 5 tables. In Russian with English summary.
