Welcome to the Treatise on Invertebrate Paleontology!
Please enter a genera name to retrieve more information.
Stromatoporella
Classification
Phylum:
Porifera
Class:
Stromatoporoidea
Order:
Stromatoporellida
Family:
Stromatoporellidae
Formal Genus Name and Reference:
Stromatoporella NICHOLSON, 1886a, p. 92
Type Species:
Stromatopora granulata Nicholson, 1873, p. 94, OD, =Stromatopora (Coenostroma?) granulata Nicholson & Murie, 1878, p. 218-219, pl. 1, =Stromatoporella granulata Nicholson, 1886a, p. 93, neotype, NHM P6021 (Nicholson No. 329), MELVILLE, 1982, p. 126
Images
(Click to enlarge in a new window)
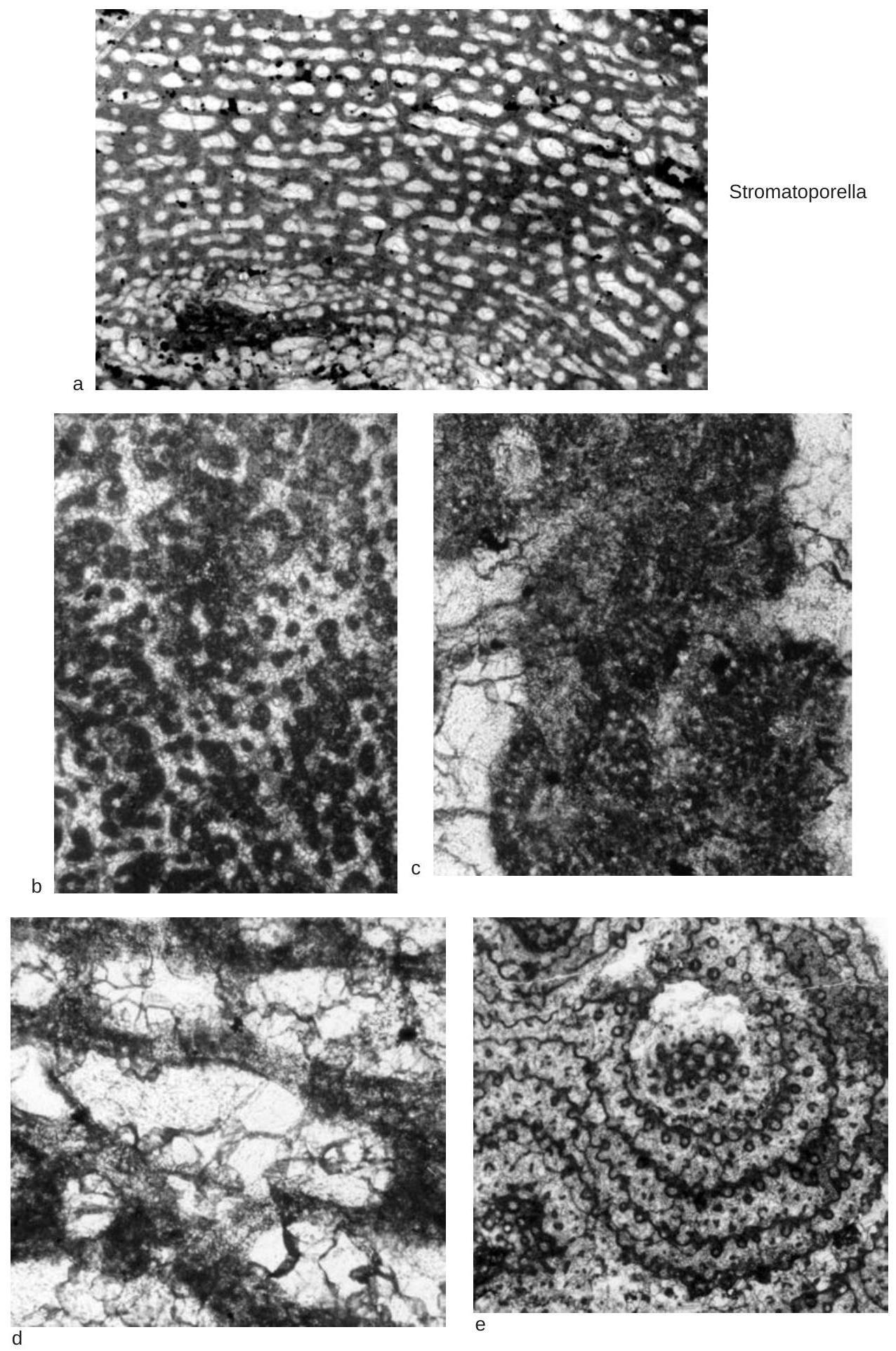
Fig. 434a-d. *S. granulata (NichOlSON), Hamilton Formation, Arkona, Ontario, holotype, NHM P6021, a, longitudinal section, Nicholson slide 329b, X10, b, tangential section showing ring pillars, Nicholson slide 329, X10, c, tangential section, Nicholson slide 329a, showing cellular nature of pillars, X70, d, longitudinal section, Nicholson slide 329c, showing ordinicellular laminae, X60 (Stearn, 2011b).-Fig. 434e. S. perannulata Galloway & St. Jean, Blue Fiord Formation, Ellesmere Island, arctic Canada, GSC no. 108175, tangential section showing ring pillars, X10 (Prosh & Stearn, 1996).
Synonyms
Stictostromella, Pseudostictostroma, ?Cancellatodictyon, Pseudostromatoporella
Geographic Distribution
Australia (Victoria), Czech Republic (Bohemia), Pragian, Afghanistan, Australia (Queensland), Canada (Arctic Island, Ontario), Russia (Salair), USA (Kentucky), Emsian-Eifelian, Belgium, Canada (Ontario, Manitoba), China (Sichuan), Germany (Eifel), Russia (Altai-Salair, Kuznetsk Basin), Spain (Calabria), USA (Indiana, Kentucky), Eifelian, Canada (Ontario), Russia (Kuznetsk Basin, Tyrgan), USA (Michigan), Ukraine, Givetian, Belgium (Ardennes), Kazakhstan, Poland, Frasnian, England (Devon), Germany (Büchel), Mongolia, Russia (Kuznetsk Basin, Urals), USA (Missouri, Indiana, Kentucky, Michigan), Middle Devonian
Age Range
Beginning Stage in Treatise Usage:
Lower Devonian (Pragian)
Beginning International Stage:
Pragian
Fraction Up In Beginning Stage:
0
Beginning Date:
412.4
Ending Stage in Treatise Usage:
Upper Devonian (Frasnian)
Ending International Stage:
Frasnian
Fraction Up In Ending Stage:
100
Ending Date:
371.1
Description
Extensive, thick laminae and short pillars confined to interlaminar space, not superposed, many formed by upward inflection of laminae into cones (ring pillars), others simple, spool-shaped posts, microstructure of laminae ordinicellular but appearing in various states of preservation as transversely porous, tripartite, cellular, tubulate, or fibrous. [The wide range of microstructures shown by the laminae may be partially accounted for by diagenesis but is likely also to be influenced by original variation. Controversy over the definition of the genus has focused on the correlation, or lack of it, between the ring pillars and the microstructures. Summaries of these discussions can be found in the work of St. Jean (1962, 1977), Stearn (1966), Kaźmierczak (1971), and Mistiaen (1985).]
References
Nicholson, H. A. 1886a. A Monograph of the British Stromatoporoids. Part I, General Introduction, vol. 39. Palaeontographical Society. London. p. 1-130, fig. 1-17, pl. 1-11.
Museum or Author Information
Classification
Phylum:
Porifera
Class:
Stromatoporoidea
Order:
Stromatoporellida
Family:
Stromatoporellidae
Formal Genus Name and Reference:
Stromatoporella NICHOLSON, 1886a, p. 92
Type Species:
Stromatopora granulata Nicholson, 1873, p. 94, OD, =Stromatopora (Coenostroma?) granulata Nicholson & Murie, 1878, p. 218-219, pl. 1, =Stromatoporella granulata Nicholson, 1886a, p. 93, neotype, NHM P6021 (Nicholson No. 329), MELVILLE, 1982, p. 126
Images
(Click to enlarge in a new window)
Fig. 434a-d. *S. granulata (NichOlSON), Hamilton Formation, Arkona, Ontario, holotype, NHM P6021, a, longitudinal section, Nicholson slide 329b, X10, b, tangential section showing ring pillars, Nicholson slide 329, X10, c, tangential section, Nicholson slide 329a, showing cellular nature of pillars, X70, d, longitudinal section, Nicholson slide 329c, showing ordinicellular laminae, X60 (Stearn, 2011b).-Fig. 434e. S. perannulata Galloway & St. Jean, Blue Fiord Formation, Ellesmere Island, arctic Canada, GSC no. 108175, tangential section showing ring pillars, X10 (Prosh & Stearn, 1996).
Synonyms
Stictostromella, Pseudostictostroma, ?Cancellatodictyon, Pseudostromatoporella
Geographic Distribution
Australia (Victoria), Czech Republic (Bohemia), Pragian, Afghanistan, Australia (Queensland), Canada (Arctic Island, Ontario), Russia (Salair), USA (Kentucky), Emsian-Eifelian, Belgium, Canada (Ontario, Manitoba), China (Sichuan), Germany (Eifel), Russia (Altai-Salair, Kuznetsk Basin), Spain (Calabria), USA (Indiana, Kentucky), Eifelian, Canada (Ontario), Russia (Kuznetsk Basin, Tyrgan), USA (Michigan), Ukraine, Givetian, Belgium (Ardennes), Kazakhstan, Poland, Frasnian, England (Devon), Germany (Büchel), Mongolia, Russia (Kuznetsk Basin, Urals), USA (Missouri, Indiana, Kentucky, Michigan), Middle Devonian
Age Range
Beginning Stage in Treatise Usage:
Lower Devonian (Pragian)
Beginning International Stage:
Pragian
Fraction Up In Beginning Stage:
0
Beginning Date:
412.4
Ending Stage in Treatise Usage:
Upper Devonian (Frasnian)
Ending International Stage:
Frasnian
Fraction Up In Ending Stage:
100
Ending Date:
371.1
Description
Extensive, thick laminae and short pillars confined to interlaminar space, not superposed, many formed by upward inflection of laminae into cones (ring pillars), others simple, spool-shaped posts, microstructure of laminae ordinicellular but appearing in various states of preservation as transversely porous, tripartite, cellular, tubulate, or fibrous. [The wide range of microstructures shown by the laminae may be partially accounted for by diagenesis but is likely also to be influenced by original variation. Controversy over the definition of the genus has focused on the correlation, or lack of it, between the ring pillars and the microstructures. Summaries of these discussions can be found in the work of St. Jean (1962, 1977), Stearn (1966), Kaźmierczak (1971), and Mistiaen (1985).]
References
Nicholson, H. A. 1886a. A Monograph of the British Stromatoporoids. Part I, General Introduction, vol. 39. Palaeontographical Society. London. p. 1-130, fig. 1-17, pl. 1-11.
